Фабри ауруы

Фабри ауруы туралы қызыл контурлы ескерту белгішесі

Фабри ауруы — GLA геніндегі мутациямен және жасушаларда глоботриаозилцерамидтің (GL-3) жиналуымен байланысты лизосомалық α-галактозидаза (α-GalA) ферментінің тапшылығынан туындайтын, Х-хромосомамен тіркескен үдемелі генетикалық ауру.1

Аурудың таралуын білдіретін қызыл контурлы глобус белгішесі

Фабри ауруының таралуы 1:17 000-нан 1:117 000-ға дейін кең ауқымда өзгеріп отырады2

  • Классикалық мутациялар Фабри ауруында шамамен 1:22 000 — 1:40 000 ер адамда2
  • Атипиялық көріністер шамамен ер адамдарда 1:1000 — 1:3000 және әйелдерде 1:6000 — 1:40 0002

Дені сау адамдарда α-GAL A ферменті жасушалардағы гликосфинголипидтердің терминалдық α-галактозид қалдықтарын ыдыратады (негізгі субстрат — глоботриаозилцерамид GL-3). Осылайша фермент осы липидтердің қалыпты лизосомалық катаболизмін қамтамасыз етеді және олардың жасушаларда жиналуына жол бермейді.3

Альфа-GAL A қалыпты деңгейіндегі және GL-3 жиналмайтын жасуша сызбасы

Фабри ауруы кезінде альфа-GAL A ферментінің тапшылығы лизосомаларда Gb3 гликолипидтерінің үдемелі жиналуына әкеледі. Gb3-тің аномальді жиналуы жасушалық дисфункцияны туындатады, бұл көптеген ағзалар мен жүйелердің үдемелі зақымдануына алып келеді.3

Альфа-GAL A төмендеген немесе жоқ және GL-3 жиналатын жасуша сызбасы
Аурудың жеке ағымын білдіретін қызыл контурлы белгіше

Маңызды атап өту керек, Фабри ауруы әр пациентте әртүрлі өтеді: кейбір симптомдар айқынырақ болуы мүмкін, ал басқалары мүлде болмауы мүмкін.4

Фабри ауруының ең жиі кездесетін белгілері мен симптомдары:1,5-7

Нұсқағыш қол

Фабри ауруы зақымдайтын ағзалар мен жүйелердің сызбасы
Қызыл контурлы ескерту белгішесі

Фабри ауруының симптомдары әдетте балалық шақта байқалғанымен, ағзалардың зақымдануы айқынырақ сипат ала бастаған кезде де олар ұзақ уақыт бойы танылмай қалуы мүмкін.7

  • Фабри ауруының клиникалық симптомдары елеулі вариабельділікпен сипатталады, бұл пациенттің жынысына, патогендік нұсқаның түріне және әйелдердегі X-хромосоманың инактивация дәрежесіне байланысты.8
  • Аурудың көріністері ер адамадардағы ерте басталатын ауыр классикалық түрден кеш басталатын фенотипі бар әйелдердегі GLA гені нұсқасының симптомсыз тасымалдаушылығына дейін өзгеріп отырады, сонымен қатар көптеген аралық нұсқаларды қамтиды.8
Қара шеңбердегі Фабри ауруының классикалық фенотипін білдіретін ақ белгіше

Фабри ауруының классикалық фенотипі5 — 
альфа-GAL A белсенділігі өте төмен/жоқ (1%-дан аз), ерте басталатын (балалық шақ/жасөспірімдік кезең) және мультижүйелік зақымданумен сипатталатын түр.

Жетекші клиникалық көріністер: нейропатиялық ауырсынулар/акропарестезиялар, ангиокератомалар, гипо-/ангидроз, құйынтәрізді кератопатия және көптеген ағзалардың ерте зақымдануы.

Үдеуі: ауыр бүйрек жеткіліксіздігінің, кардиомиопатияның және инсульттің дамумен жүретін жылдам ағым.

Қара шеңбердегі кеш басталатын Фабри ауруын білдіретін ақ белгіше

Кеш басталатын Фабри ауруы5 — 
бұл альфа GAL A қалдық белсенділігі бар (1-30 %-ға дейін)9, әдетте ересек жаста басталатын және жиі бір жүйенің зақымдануымен сипатталатын түр.

Жетекші клиникалық көріністер: көбінесе кардиалдық нұсқа (гипертрофиялық кардиомиопатия, аритмиялар, өткізгіштік бұзылыстары, үдемелі жүрек жеткіліксіздігі), бүйректік нұсқа (протеинурия, үдемелі бүйрек жеткіліксіздігі) және цереброваскулярлық нұсқа — ТИА/инсульт болуы мүмкін. Нейропатиялық ауырсыну/тері және "классикалық" белгілер (ангиокератомалар, гипогидроз/ангидроз, cornea verticillata) әлсіз білінуі мүмкін.

Үдеуі: Фабри ауруының кеш фенотипі әдетте баяуырақ және кейінірек үдейді, ересек жаста басталады (көбіне кардиалдық және/немесе бүйректік асқынулар сатысында диагноз қойылады).

Фабри ауруын ерте анықтауды білдіретін қызыл дөңгелек белгіше

Пациенттердің едәуір бөлігінде Фабри ауруы нысана-ағзалардың — жүректің, бүйректің немесе орталық жүйке жүйесінің зақымдануы дамығаннан кейін ғана анықталады.10

Асқынулар туралы қызыл дөңгелек ескерту белгішесі

Бұл асқынулар көбінесе пациентті дәрігерге әкелетін және ауруға күдік туғызуға мүмкіндік беретін алғашқы клиникалық белгілерге айналады.10

Фабри ауруы кезіндегі бүйректі білдіретін қызыл контурлы белгіше

Фабри ауруы кезіндегі жүрек зақымдануының белгілері

  • Жүректің зақымдануы Фабри ауруының ең жиі және ең ауыр көріністерінің бірі болып табылады, әрі осы ауру кезіндегі өлім-жітімнің жетекші себебі саналады.11,12
  • Миокардта, өткізгіш жүйе жасушаларында және эндотелийде гликосфинголипидтердің (Gb3, lyso‑Gb3) жиналуы гипертрофияға, фиброзға және жүрек функциясының бұзылуына әкеледі.11,12
Леп белгісі бар қызыл контурлы ескерту белгішесі

Сол жақ қарыншаның гипертрофиясы (СҚГ 13 мм-ден жоғары), ол патологиялық жүктеме жағдайларымен (мысалы, артериялық гипертензия немесе аорталық стеноз) байланысты болмаса, Фабри ауруының маңызды белгісі болып табылады.54

Клиникалық көріністерді білдіретін қызыл дөңгелек белгіше

Клиникалық көріністер

  • кеудедегі ауырсыну, жүректің қатты қағуы, ентігу және естен тану12,13
  • артериялық гипертензиясыз сол жақ қарыншаның гипертрофиясы (негізінен концентрлік) — ең жиі белгі12,13
  • жүрек қақпақшаларының, әсіресе митральді қақпақшаның дисфункциясы12,13
  • өткізгіш жүйенің зақымдануына байланысты аритмиялар және кенеттен өлім қаупі12,13
  • диастолалық дисфункция және үдемелі жүрек жеткіліксіздігі11,13
Кардиологиялық көріністерді білдіретін қызыл дөңгелек белгіше

Диагностика

ЭКГ

  • сол жақ қарыншаның гипертрофиясы (ST сегментінің депрессиясы, қысқа PR аралығы және T-тісшесінің инверсиясы)12-14
  • ырғақ пен өткізгіштік бұзылыстары: QRS кешенінің кеңеюі, QT аралығының ұзаруы; АВ-түйін блокадалары, Гис шоғыры аяқшаларының блокадалары12,13

МРТ

  • гадолинийдің кеш жиналу аймақтарын анықтау (миокард фиброзы ошақтарына сәйкес келеді)12,13,16

ЭхоКГ

  • СҚ еркін қабырғасының гипертрофиясы13,15
  • СҚ-ның концентрлік гипертрофиясы (13–22 мм)12,15,17
  • митральді қақпақша жармаларының қалыңдауы12-14
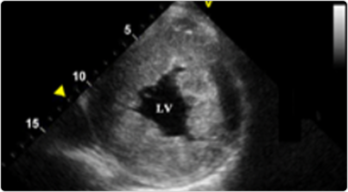
Фабри ауруы кезіндегі сол жақ қарыншаның эхокардиографиясы

1-сурет.
Парастерналды эхокардиография: ұзын (A) және қысқа (B) біліктер.

Дереккөзден бейімделген: 
Liu et al., PLoS One 2013;8(5):e64603. 
CC BY 4.0.18

Эхо-КГ-да сол жақ қарыншаның концентрлік гипертрофиясын көрсету

(датчиктің парастерналды орналасуындағы қысқа ось проекциясы)

Фабри ауруымен байланысты жүрек фенотиптері

Фабри ауруы бар пациенттердегі жүрек-қантамыр ауруларының клиникалық көрінісі төмендегілерге байланысты өзгеріп отырады:19

  • GLA нақты нұсқасы
  • пациенттің жынысы
  • симптомдардың пайда болу жасы

Классикалық фенотипі

Кеш басталатын жүрек фенотипі

Әйелдердегі Фабри ауруы

  • Жүрек аурулары жүрекке қатысы жоқ клиникалық белгілер мен симптомдармен қатар дамуы мүмкін.20,21
  • Аурулардың, соның ішінде жүрек‑қантамыр жүйесі ауруларының белгілері мен симптомдары бала кезден бастап байқалуы мүмкін.22
  • Жүректік көріністер жүректік емес көріністерден басым21
  • Классикалық ауруы даму мүмкін25
  • Кеш басталатын жүрек ауруы даму мүмкін25
  • Пациенттерде ентігу, кеуде ауыруы, жүрек қағуы және естен тану байқалады23
  • Симптомдар жүректің үдемелі гипертро­фиясының, өткізгіштік бұзылыс­тарының және аритмия­лардың дамуына сәйкес келеді20,23
  • Пациенттердің көпшілігінде СҚГ байқалады21
  • Жүрек фенотипінің көріністері сондай-ақ мыналарды қамтуы мүмкін:24
    • → Кардио­мега­лияны
    • → Обструктивті емес ГКМП-ны
    • → Қақпақша ауруын
    • → Аритмияларды
  • Жүрек тарапынан симптомдар әдетте ерлерге қарағанда 10 жыл кешірек пайда болады23
  • Жүрек-қантамырлық дисфункциясы Фабри ауруы бар әйелдердің мерзімінен бұрын қайтыс болуының негізгі себебі болуы мүмкін26
  • Фабри ауруы әйелдердегі түсіндірілмеген кеш басталатын кардиомиопатиялардың 12 %-ына дейін құрауы мүмкін25
Фабри ауруы кезіндегі бүйректі білдіретін қызыл контурлы белгіше

Фабри ауруы кезіндегі бүйрек зақымдануының белгілері1

  • Бүйрек зақымдануы — Фабри ауруының негізгі және ең ерте көріністерінің бірі.
  • Фабри ауруы бар пациенттердің 48 %-ында бүйрек зақымдануы байқалады.27
  • Негізгі патогенетикалық механизм — бүйрек жасушаларында, ең алдымен подоциттерде, Gb3 гликосфинголипидінің жиналуы. Бұл олардың зақымдануына, базальді мембранадан ажырауына және несеппен жоғалуына әкеледі.1,27
Бүйрек зақымдануының клиникалық көріністерін білдіретін қызыл дөңгелек белгіше

Клиникалық көріністер

  • Протеинурия, микроальбуминурия28
  • Бүйрек функциясының үдемелі бұзылуы, шумақтық сүзілу жылдамдығының (СКФ) біртіндеп төмендеуімен29
  • Диализді қажет ететін терминалдық бүйрек жеткіліксіздігі28,30
  • Бүйректерде парапельвикалық кисталардың жиі дамуы30

Алғашқы клиникалық белгі әдетте микроальбуминурия болып табылады, ол жас ұлғаюымен айқын протеинурияға дейін үдейді.28

Біртіндеп шумақтық сүзілу жылдамдығының үдемелі төмендеуімен созылмалы бүйрек ауруы (СБА) дамиды.29,30 Пациенттердің бір бөлігінде гемодиализді қажет ететін терминалдық бүйрек жеткіліксіздігі дамиды.28

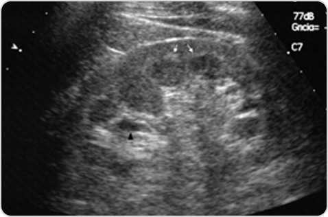
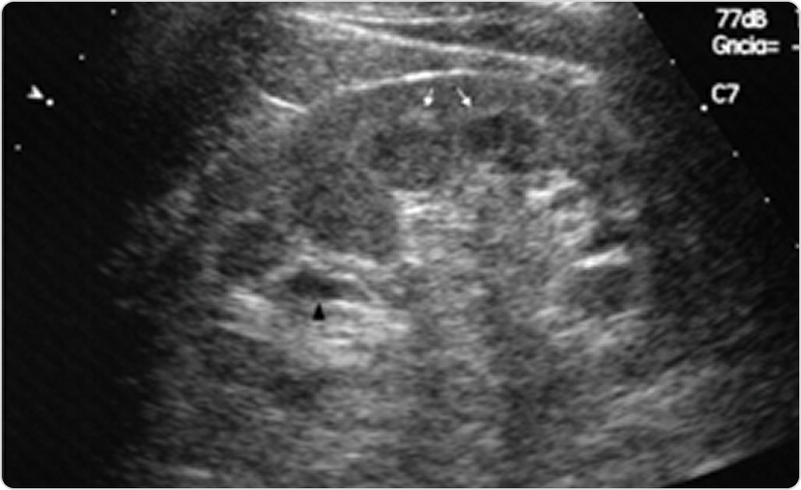
Фабри ауруы кезіндегі бүйректің ультрадыбыстық кескініФабри ауруы кезіндегі бүйректің ультрадыбыстық кескіні

2-сурет. Құрсақ қуысының УДЗ-сы: Фабри ауруы бар пациенттің сол жақ бүйрегінің қыртысты-милық гиперэхогенділігі және парапельвикалық кисталары бар қиғаш кесіндісі.

Дереккөзден бейімделген: Azancot MA, Vila J, Domínguez C, Serres X, Espinel E. Multiple parapelvic cysts in Fabry disease. Nefrología. 2016;36(5):533–536. Open Access.31

Фабри ауруы бар пациенттердің 50 %-ында бүйрек синусының кисталары немесе парапельвикалық кисталар болады32

Фабри ауруы кезіндегі бүйрек зақымдануының «классикалық» нұсқасы және «кеш басталатын» нұсқасы ажыратылады

Қара шеңбердегі бүйрек зақымдануының классикалық нұсқасын білдіретін ақ белгіше

«Классикалық нұсқа»

  • Шумақтардың, интерстициальді өзекшелердің және тамырлық құрылымдардың потенциалды қайтымсыз өзгерістері1
  • Шумақтардың зақымдануы және гломерулосклероз1
  • Үдемелі альбуминурия және протеинурия1
  • Бүйрек функциясының үдемелі төмендеуі33
  • Бүйректің парапельвикалық кисталары30
  • Пациенттерде асқынулардың даму жиілігі жоғары байқалады34
  • Ерлерде СБА-ның A3 сатысына8 дейін үдеу қаупі жоғары34
Қара шеңбердегі бүйрек зақымдануының кеш басталуын білдіретін ақ белгіше

«Кеш басталатын түрі»

  • Гемодиализде жүрген ерлердің 0,16–1,2 %-ында анықталады35,36
  • GLA геніндегі кейбір мутациялар аурудың кеш басталуымен байланысты36
  • Терминалдық созылмалы бүйрек жеткіліксіздігі 40–50 жастағы пациенттерде дамиды33
Фабри ауруы кезіндегі жүйке жүйесін білдіретін қызыл контурлы белгіше

Фабри ауруы кезіндегі жүйке жүйесінің зақымдану белгілері

  • Фабри ауруы эндотелийде, нейрондарда және орталық (ОЖЖ), сондай-ақ шеткергі жүйке жүйесінің (ШЖЖ) өткізгіш жүйесі құрылымдарында гликосфинголипидтердің (Gb3, lyso‑Gb3) жиналуы есебінен неврологиялық бұзылыстар туындатады.27
  • Неврологиялық белгілер мен симптомдар ерлерде 84 %-ға дейін және әйелдерде 79 %-ға дейін жиілікпен байқалады (FOS деректері бойынша).27
Қызыл контурлы ескерту белгішесі

18-ден 55 жасқа дейінгі жастағы транзиторлық ишемиялық шабуылдар, ишемиялық және геморрагиялық инсульттер пациентте басқа типтік белгілер дамымай тұрып, Фабри ауруының алғашқы көріністері болуы мүмкін.1,37

Орталық жүйке жүйесінің (ОЖЖ) зақымдануы

  • Цереброваскулярлық көріністер (ТИА және ишемиялық инсульт) ер пациенттердің 25 %-ында және әйел пациенттердің 21 %-ында байқалады. Инсульт өткерген Фабри ауруы бар пациенттердің 45,9 %-ы алғашқы инсультті Фабри ауруы диагнозы қойылғанға дейін өткерген (FOS деректері бойынша).27
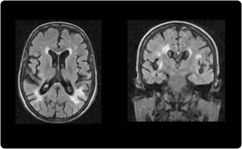
  • МРТ-да анықталатын мидың ақ затының зақымдануы — созылмалы тамырлық зақымданудың белгісі.38
  • Когнитивтік функциялардың бұзылуы, соның ішінде психомоторлық жылдамдық, зейін шоғырландыру және атқарушылық функциялар саласындағы бұзылыстар.39
  • Психоневрологиялық бұзылыстар — мазасыздық, депрессия және мінез-құлықтағы өзгерістер.40
  • Нейропатиялық ауырсыну, соның ішінде бас ауруы — ер пациенттердің 81 %-ында және әйел пациенттердің 65 %-ында байқалады.41
Фабри ауруы кезіндегі өзгерістері бар ми МРТ-сі

3-сурет. Фабри ауруы бар 40 жастағы әйелдегі Т2-салмақталған МРТ кескіндерінде ақ заттың екіжақты диффузды, дақты және ішінара қосылатын гиперинтенсивті ошақтары.

Дереккөзден бейімделген: Cocozza S et al. Insights Imaging. 2018;9(6):1077–1088. © The Author(s) 2018. CC BY 4.0.42

Шеткергі жүйке жүйесінің (ШЖЖ) зақымдануы

Негізгі симптомдар жіңішке жүйке талшықтарының зақымдануымен байланысты:

  • Нейропатиялық ауырсынуға акропарастезиялар (алақан мен табандағы күйдіріп, шаншитын ауырсыну) және Фабри криздері — алақан мен табаннан басталып, орталыққа қарай таралатын төзгісіз ауырсынудың жедел ұстамалары жатады; жиі стресс, қызба немесе физикалық жүктемемен қоздырылады.41
  • Асқазан-ішек жолының бұзылыстарымен немесе гипо-/ангидрозбен көрінетін автономды жүйке жүйесінің дисфункциясы.27
  • Физикалық жүктемені нашар көтеру және терморегуляцияның бұзылуы.41
  • Есту және вестибулярлық бұзылыстар (есту қабілетінің төмендеуі — үдемелі де, кенеттен болатын саңыраулық та, құлақтағы шу, бас айналу).27

Пациенттердің 80%-ында кохлеовестибулярлық зақымданулар кездеседі, симптомдар кенеттен болған саңыраулықтан үдемелі сенсоневралдық есту төмендеуіне дейін өзгеріп отырады.43

Кохлеовестибулярлық бұзылыстар кезіндегі тоналдық шектік аудиограмма

4-сурет. Тоналдық шектік аудиограмма: Фабри ауруы бар пациенттің сол құлағындағы 15 дБ ауа-сүйек аралығы бар аралас есту төмендеуі.

Дереккөзден бейімделген: Zakaria Y et al. Cureus. 2024;16(3):e57289. © 2024 Zakaria et al. CC BY 4.0.43

Фабри ауруы кезіндегі көз зақымдануын білдіретін қызыл контурлы белгіше

Фабри ауруы кезіндегі көз зақымдануының белгілері

  • Көз көріністері Фабри ауруының ең жиі және ерте белгілерінің бірі болып табылады. Олар көздің әртүрлі құрылымдарында — эпителиалдық жасушаларда, тамырлар эндотелийінде, нейроретинада және көздің қосалқы аппараты элементтерінде гликосфинголипидтердің (Gb3/lyso‑Gb3) жиналуымен байланысты.44

1. Қасаң қабық:

Құйынтәрізді кератопатия (cornea verticillata) — 75–98 % пациенттерде кездесетін ең жиі офтальмологиялық белгі: алтын-қоңыр түсті «вортекс» суретін түзетін құйынтәрізді субэпителиалдық шөгінділермен сипатталады. Бұл биомикроскопия (саңылаулы шам) әдісімен анықталатын маңызды диагностикалық белгі.44

Cornea verticillata (қасаң қабық эпителийіндегі құйынтәрізді паттерні бар бұлдыр шөгінділер) — Фабри ауруының тән белгісі.45

Фабри ауруы кезіндегі cornea verticillata бар қасаң қабықтың фотосуретіФабри ауруы кезіндегі cornea verticillata бар қасаң қабықтың фотосуреті

5-сурет. Оң көздің саңылаулы шамдағы фотосуреті: қасаң қабықтағы құйынтәрізді суреті бар диффузды қоңырқай шөгінділер (cornea verticillata); өзгерістер екіжақты.

Дереккөзден бейімделген: Salazar P. Clin Insights Eye Care. 2023;1(1). © 2023 Salazar P. CC BY 4.0.45

2. Ангиопатия.

Пациенттердің 64–86 %-ында кездесетін конъюнктива және торқабық тамырларының иректілігі тән. Өзгерістер аурудың ауырлығымен корреляцияланады.44 Кейбір пациенттерде конъюнктива тамырларының микроаневризмалары анықталады.45

Фабри ауруы кезіндегі тамырлық өзгерістері бар көз түбінің фотосуретіФабри ауруы кезіндегі тамырлық өзгерістері бар көз түбінің фотосуреті

6-сурет. Оң көздің көз түбінің фотосуреті: торқабық тамырларының иректілігі (екіжақты), көру жүйкесі дискінен төменгі-мұрындық квадрантта шынытәрізді денеге аздаған қан құйылу.

Бейімделген дереккөз: Salazar P. Clin Insights Eye Care. 2023;1(1). © 2023 Salazar P. CC BY 4.0.45

3. Фабриге тән «катаракта».

Алдыңғы субкапсулярлық «пропеллер тәрізді» бұлыңғырланулар және артқы радиалды катаракталар болуы мүмкін. Мұндай бұлыңғырланулар классикалық фенотипі бар ерлердің 30–40 %-ында кездесуі мүмкін және әйелдерде сирегірек байқалады. Бұл өзгерістер әдетте көру өткірлігіне айтарлықтай әсер етпейді, бірақ типтік диагностикалық белгі болып табылады.44

Құрғақ көздің, көз жасы үлбірінің тұрақсыздығының жиілігі жоғары болуы мүмкін, бұл Фабри ауруы кезіндегі липидтер метаболизмінің бұзылыстарымен байланысты.46

Ерте офтальмологиялық белгілерді білдіретін қызыл контурлы белгіше

Көптеген офтальмологиялық белгілер ерте, ауыр жүйелік асқынулардан әлдеқайда бұрын пайда болады.44

Фабри ауруының тұқым қуалауы

Фабри ауруы Х-хромосомамен тіркескен ауру болып табылады және балаларға анадан да, әкеден де берілуі мүмкін.47

Ана жағынан тұқым қуалауды білдіретін қызыл контурлы белгіше

Ана жағынан47

Екі Х-хромосоманың бірінде мутациясы бар ананың өз балаларының әрқайсысына Фабри ауруын беру ықтималдығы 50 %.

Фабри ауруының ана жағынан тұқым қуалау сызбасы Фабри ауруының ана жағынан тұқым қуалау сызбасы
GLA генетикалық мутацияларын білдіретін қызыл дөңгелек белгіше

GLA генінің 1000-нан астам әртүрлі мутациясы белгілі.48

Ер адамдардағы Фабри ауруының тұқым қуалауын білдіретін қызыл дөңгелек белгіше

Жалғыз X-хромосомасында ақаулы GLA гені бар ер адамдар ауру бойынша гомозиготалы, ер адамдарда ауру әрқашан көрініс береді.1

Фабри ауруының генетикалық нұсқасын білдіретін қызыл дөңгелек белгіше

Мутация түрі нақты адамда аурудың қалай өтетінін анықтауы мүмкін.49

Әйелдердегі Фабри ауруының тұқым қуалауын білдіретін қызыл дөңгелек белгіше

X-хромосомасындағы GLA гені бар әйелдер ауру бойынша гетерозиготалы, әйелдерде X-хромосоманың кездейсоқ тұқым қуалайтын инактивациясы (лионизациясы) кезінде аурудың ауыр түрі (ер адамдардағыдай) дамуы мүмкін. Аурудың ауырлығы X-хромосоманың инактивация дәрежесіне байланысты.1

Әке жағынан тұқым қуалауды білдіретін қызыл контурлы белгіше

Әке жағынан47

Егер әкесі ауырса, онда оның мутациясы бар X-хромосомасы барлық қыздарына тарайды, бірақ ауру ұлдарына тарамайды, өйткені ұл әкесінен Y-хромосоманы алады.

Фабри ауруының әке жағынан тұқым қуалау сызбасы Фабри ауруының әке жағынан тұқым қуалау сызбасы

Фабри ауруының өмір сапасына әсері

Фабри ауруы ауырсыну, ағзалық асқынулар, эмоциялық және әлеуметтік ауыртпалық салдарынан пациенттердің өмір сапасын едәуір төмендетеді.

Фабри ауруы кезіндегі ауырсынуды білдіретін қызыл дөңгелек белгіше

Ауырсыну — өмір сапасының төмендеуінің негізгі факторы50

Созылмалы нейропатиялық ауырсыну — Фабри ауруының ең ерте және тұрақты симптомдарының бірі. FOS деректері бойынша, пациенттерде BPI шкаласы бойынша ауырсынудың айқын көрсеткіштері байқалады: ем басталғанға дейін «ең қатты ауырсынудың» орташа балы 5.1 (SD 2.7) болған.

Фабри ауруы кезіндегі ауырсыну:

  • физикалық белсенділікті шектейді
  • еңбекке қабілеттілікті төмендетеді
  • ұйқы бұзылыстарын туындатады
  • эмоциялық титықтауды туындатады (мазасыздық, депрессия).
Фабри ауруы кезіндегі депрессияны білдіретін қызыл дөңгелек белгіше

Фабри ауруы кезіндегі депрессия51

Зерттеулер деректері бойынша, Фабри ауруы бар пациенттерде депрессияның таралуы 15 %-дан 62 %-ға дейін ауытқиды.

Депрессиялық симптомдардың пайда болуы мыналармен байланыстырылады:

  • созылмалы нейропатиялық ауырсынумен
  • шаршағыштықпен
  • ұйқының бұзылуымен
  • симптомдардың күнделікті өмірге елеулі әсерімен
  • Пациенттерде көңіл күйдің тұрақты төмендеуі, үмітсіздік сезімі, ашушаңдық, сондай-ақ зейін қою мен мотивацияға қатысты қиындықтар байқалады.
  • Депрессия күшейеді ауру симптомдары нашарлаған кезеңдерде, соның ішінде ауырсыну мен ағзалық асқынулардың үдеуі кезінде.
  • Депрессия әлеуметтік оқшаулануға, еңбекке қабілеттіліктің төмендеуіне және жалпы өзін-өзі бағалаудың нашарлауына әкеледі, осылайша аурудың психологиялық ауыртпалығын күшейтеді.51

Аурудың жүйелік көріністері және олардың өмір сапасына әсері

Қара шеңбердегі бүйректік асқынуларды білдіретін ақ белгіше

Бүйректік асқынулар.52

Қара шеңбердегі бүйрек функциясының төмендеуін білдіретін ақ белгіше

Бүйрек функциясының үдемелі нашарлауы (СКФ төмендеуі) әлсіздікпен, физикалық мүмкіндіктердің шектелуімен және мазасыздықпен көрінеді.52

Қара шеңбердегі кардиологиялық көріністерді білдіретін ақ белгіше

Кардиологиялық көріністер.53

Қара шеңбердегі жүректік асқынуларды білдіретін ақ белгіше

Миокард гипертрофиясы, аритмиялар және жүктемеге төзімділіктің төмендеуі де өмір сапасының нашарлауына ықпал етеді.53

Қара шеңбердегі неврологиялық және психоэмоциялық көріністерді білдіретін ақ белгіше

Неврологиялық және психоэмоциялық көріністер.53

Қара шеңбердегі когнитивтік және эмоциялық бұзылыстарды білдіретін ақ белгіше

Фабри ауруы бар пациенттер зейіннің төмендеуін, шаршағыштықтың артуын және эмоциялық күйзелісті атап өтеді. Симптомдар әлеуметтік оқшаулануға, кәсіби қызметтегі қиындықтарға және жалпы әл-ауқаттың төмендеуіне әкеледі.53

Источники:

  1. Germain DP. Fabry disease. Orphanet J Rare Dis. 2010;5:30. doi:10.1186/1750-1172-5-30
  2. Bokhari SRA, Zulfiqar H, Hariz A. Fabry Disease. [Updated 2023 Jul 4]. In: StatPearls [Internet]. Treasure Island (FL): StatPearls Publishing; 2025 Jan-. Available from: https://www.ncbi.nlm.nih.gov/books/NBK435996/
  3. Stamerra CA, Del Pinto R, di Giosia P, Ferri C, Sahebkar A. Anderson-Fabry Disease: From Endothelial Dysfunction to Emerging Therapies. Adv Pharmacol Pharm Sci. 2021;2021:5548445. Published 2021 May 13. doi:10.1155/2021/5548445
  4. Cammarata G, Fatuzzo P, Rodolico MS, et al. High variability of Fabry disease manifestations in an extended Italian family. Biomed Res Int. 2015;2015:504784. 
    doi:10.1155/2015/504784
  5. Ortiz A, Germain DP, Desnick RJ, et al. Fabry disease revisited: management and treatment recommendations for adult patients. Mol Gen Metab. 2018;123(4):416-427. 
    doi:10.1016/j.ymgme.2018.02.014
  6. Morand, O., Johnson, J., Walter, J., Atkinson, L., Kline, G., Frey, A., Politei, J., & Schiffmann, R. (2019). Sy mptoms and Quality of Life in Patients with Fabry Disease: Results from an International Patient Survey. Advances in therapy, 36(10), 2866–2880. https://doi.org/10.1007/s12325-019-01061-x
  7. Nilsson M, Kolagari HT, Epstein D, et al. Visual outcome, ocular findings, and visual quality of life in patients with Fabry disease. Ophthalmic Genet. 2022;43(6):841-849. doi:10.1080/13816810.2022.2132515
  8. Spada M, Pagliardini S, Yasuda M, et al. High incidence of later-onset fabry disease revealed by newborn screening. Am J Hum Genet. 2006;79(1):31-40. doi:10.1086/504601
  9. Schiffmann R, Ries M. Fabry Disease: A Disorder of Childhood Onset. Pediatr Neurol. 2016 Nov;64:10-20. doi:10.1016/j.pediatrneurol.2016.07.001. Epub 2016 Jul 29. 
    PMID: 27555236.
  10. Valtola K, Hedman M, Kantola I, et al. Late-onset and classic phenotypes of Fabry disease in males with the GLA-Thr410Ala mutation. Open Heart. 2023;10(1):e002251. 
    doi:10.1136/openhrt-2023-002251
  11. Weissman D, Dudek J, Sequeira V, Maack C. Fabry Disease: Cardiac Implications and Molecular Mechanisms. Curr Heart Fail Rep. 2024;21:81-100. doi:10.1007/s11897-024-00645-1
  12. Azevedo O, Cordeiro F, Gago MF, et al. Fabry Disease and the Heart: A Comprehensive Review. Int J Mol Sci. 2021;22(9):4434. doi:10.3390/ijms22094434
  13. Dougherty S, Germain DP, Oudit GY, et al. Cardiac manifestations of Fabry disease. npj Cardiovasc Health. 2025;2:40. doi:10.1038/s44325-025-00058-6
  14. Monda E, Falco L, Palmiero G, et al. Cardiovascular involvement in Fabry's disease: new advances in diagnostic strategies, outcome prediction and management. Card Fail Rev.2023;9:e12. doi:10.15420/cfr.2023.06
  15. Spinelli L, Bianco A, Riccio E, Pisani A, Iaccarino G. Cardiac involvement in Anderson-Fabry disease: the role of advanced echocardiography. Front Cardiovasc Med. 2024;11. doi:10.3389/fcvm.2024.1440636
  16. Thompson SE, Roy A, Geberhiwot T, et al. Fabry Disease: Insights into Pathophysiology and Novel Therapeutic Strategies. Biomedicines. 2025;13(3):624. doi:10.3390/biomedicines13030624
  17. Wu JC, Ho CY, Skali H, et al. Cardiovascular manifestations of Fabry disease: relationships between left ventricular hypertrophy, disease severity, and alpha-galactosidase A activity. Eur Heart J. 2010;31(9):1088-1097. doi:10.1093/eurheartj/ehp588
  18. Liu, Y., Bai, R., Wang, L., Zhang, C., Zhao, R., Wan, D., Chen, X., Caceres, G., Barr, D., Barajas-Martinez, H., Antzelevitch, C., & Hu, D. (2013). The parasternal long-axis view (A) and short-axis view (B) of an echocardiogram [Image]. In Identification of a novel de novo mutation associated with PRKAG2 cardiac syndrome and early onset of heart failure. PloS One, 8(5), e64603. https://doi.org/10.1371/journal.pone.0064603
  19. Oliveira JP, Ferreira S. Multiple phenotypic domains of Fabry disease and their relevance for establishing genotype- phenotype correlations. Appl Clin Genet. 2019;12:35-50. Published 2019 Mar 5. doi:10.2147/TACG.S146022
  20. Kubo T. Fabry disease and its cardiac involvement. J Gen Fam Med. 2017;18(5):225-229. Published 2017 May 8. doi:10.1002/jgf2.76
  21. Morrissey RP, Philip KJ, Schwarz ER. Cardiac abnormalities in Anderson-Fabry disease and Fabry's cardiomyopathy. Cardiovasc J Afr. 2011;22(1):38-44.
  22. Wilson HC, Hopkin RJ, Madueme PC, et al. Arrhythmia and Clinical Cardiac Findings in Children With Anderson-Fabry Disease. Am J Cardiol. 
    2017;120(2):251-255. 
    doi:10.1016/j.amjcard.2017.04.016
  23. Linhart A. The heart in Fabry disease. In: Mehta A, Beck M, Sunder-Plassmann G, eds. Fabry Disease: Perspectives from 5 Years of FOS. Oxford: Oxford PharmaGenesis; 2006.
  24. Lavalle L, Thomas AS, Beaton B, et al. Phenotype and biochemical heterogeneity in late onset Fabry disease defined by N215S mutation. PLoS One. 2018;13(4):e0193550. Published 2018 Apr 5. doi:10.1371/journal.pone.0193550
  25. Chimenti C, Pieroni M, Morgante E, et al. Prevalence of Fabry disease in female patients with late-onset hypertrophic cardiomyopathy. Circulation. 2004;110(9):1047-1053. doi:10.1161/01.CIR.0000139847.74101.03
  26. Linhart A, Kampmann C, Zamorano JL, et al. Cardiac manifestations of Anderson-Fabry disease: results from the international Fabry outcome survey. Eur Heart J. 2007;28(10):1228-1235. doi:10.1093/eurheartj/ehm153
  27. Mehta A, Clarke JT, Giugliani R, et al. Natural course of Fabry disease: changing pattern of causes of death in FOS - Fabry Outcome Survey. J Med Genet. 2009;46(8):548-552. doi:10.1136/jmg.2008.065904
  28. West ML, Geldenhuys L, Bichet DG. Fabry nephropathy: a treatable cause of chronic kidney disease. Rare Dis Orphan Drugs J. 2024;3:22. doi:10.20517/rdodj.2023.61
  29. Mannan F, Chinnadurai R, Wiltshire R, et al. Epidemiology and early predictors of Fabry nephropathy: evaluation of long-term outcomes from a national Fabry centre. J Nephrol. 2025;38:579-587. doi:10.1007/s40620-024-02170-9
  30. Muntean C, Starcea IM, Stoica C, Banescu C. Clinical characteristics, renal involvement, and therapeutic options of pediatric patients with Fabry disease. Front Pediatr. 2022;10:908657. doi:10.3389/
    fped.2022.908657
  31. Azancot MA, Vila J, Dominguez C, Serres X, Espinel E. Multiple parapelvic cysts in Fabry disease. Múltiples quistes parapiélicos en la enfermedad de Fabry. Nefrologia. 2016;36(3):310-312. doi:10.1016/j.nefro.2015.12.003
  32. Ries M, Bettis KE, Choyke P, et al. Parapelvic kidney cysts: a distinguishing feature with high prevalence in Fabry disease. Kidney Int. 2004;66(3):978-982. doi:10.1111/j.1523‑1755.2004.00846.x
  33. Schiffmann R, Warnock DG, Banikazemi M, et al. Fabry disease: progression of nephropathy, and prevalence of cardiac and cerebrovascular events before enzyme replacement therapy. Nephrol Dial Transplant. 2009;24(7):2102-2111. doi:10.1093/ndt/gfp031
  34. Arends M, Wanner C, Hughes D, et al. Characterization of Classical and Nonclassical Fabry Disease: A Multicenter Study. J Am Soc Nephrol. 
    2017;28(5):1631-1641. doi:10.1681/ASN.2016090964
  35. Kotanko P, Kramar R, Devrnja D, et al. Results of a nationwide screening for Anderson-Fabry disease among dialysis patients. J Am Soc Nephrol. 2004;15(5):1323-1329. doi:10.1097/01.asn.0000124671.61963.1e
  36. Nakao S, Kodama C, Takenaka T, et al. Fabry disease: detection of undiagnosed hemodialysis patients and identification of a "renal variant" phenotype. Kidney Int. 2003;64(3):801‑807. doi:10.1046/j.1523‑1755.2003.00160.x
  37. Sims K, Politei J, Banikazemi M, Lee P. Stroke in Fabry disease frequently occurs before diagnosis and in the absence of other clinical events: natural history data from the Fabry Registry. Stroke. 2009;40(3):788-794. doi:10.1161/STROKEAHA.108.526293
  38. Körver S, Vergouwe M, Hollak CEM, van Schaik IN, Langeveld M. Development and clinical consequences of white matter lesions in Fabry disease: a systematic review. Mol Genet Metab. 2018;125(3):205-216. doi:10.1016/j.ymgme.2018.08.014
  39. Loeb J, Feldt-Rasmussen U, Madsen CV, Vogel A. Cognitive Impairments and Subjective Cognitive Complaints in Fabry Disease: A Nationwide Study and Review of the Literature. JIMD Rep. 2018;41:73-80. doi:10.1007/8904_2018_103
  40. Cole AL, Lee PJ, Hughes DA, Deegan PB, Waldek S, Lachmann RH. Depression in adults with Fabry disease: a common and under-diagnosed problem. J Inherit Metab Dis. 2007;30(6):943-951. doi:10.1007/s10545‑007-0708-6
  41. Hoffmann B, Beck M, Sunder-Plassmann G, et al. Nature and prevalence of pain in Fabry disease and its response to enzyme replacement therapy--a retrospective analysis from the Fabry Outcome Survey. Clin J Pain. 2007;23(6):535-542. doi:10.1097/AJP.0b013e318074c986
  42. Cocozza S, Russo C, Pontillo G, Pisani A, Brunetti A. Neuroimaging in Fabry disease: current knowledge and future directions. Insights Imaging.
    2018;9(6):1077-1088. doi:10.1007/s13244-018-0664-8
  43. Zakaria Y, Yahya N, Kissani N. Cochleovestibular Signs As the First Manifestation of Fabry Disease: A Case Report and Literature Review. Cureus. 2024 Mar 30;16(3):e57289. doi:10.7759/cureus.57289. Link: https://pmc.ncbi.nlm.nih.gov/articles/PMC11058903/
  44. Hoffmann B, Mayatepek E. Fabry disease-often seen, rarely diagnosed. Dtsch Arztebl Int. 2009;106(26):440-447. doi:10.3238/arztebl.2009.0440
  45. Salazar P. A Case Report on Fabry Disease with Valsalva Retinopathy. Case Reports. 2023;1(1). Published October 8, 2023. Link: https://
    clinicalinsightsineyecare.scholasticahq.com/article/88058-a-case-report-on-fabry-disease-with-valsalva-retinopathy
  46. Gambini G, Scartozzi L, Giannuzzi F, et al. Ophthalmic Manifestations in Fabry Disease: Updated Review. J Pers Med. 2023;13(6):904. Published 2023 May 27. doi:10.3390/jpm13060904
  47. Biddeci G, Spinelli G, Colomba P, Duro G, Giacalone I, Di Blasi F. Fabry Disease Beyond Storage: The Role of Inflammation in Disease Progression. Int J Mol Sci. 2025;26(15):7054. Published 2025 Jul 22. doi:10.3390/ijms26157054
  48. Chu W, Chen M, Lv X, et al. Status and frontiers of Fabre disease. Orphanet J Rare Dis. 2025;20(1):123. Published 2025 Mar 13. doi:10.1186/s13023-025-03646-y
  49. Lenders M, Menke ER, Brand E. Progress and Challenges in the Treatment of Fabry Disease. BioDrugs. 2025;39(4):517-535. doi:10.1007/s40259‑025-00723-3
  50. Hoffmann B, Garcia de Lorenzo A, Mehta A, et al.Effects of enzyme replacement therapy on pain and health related quality of life in patients with Fabry disease: data from FOS (Fabry Outcome Survey). J Med Genet. 2004;42(3):247-252. doi:**10.1136/jmg.2004.025791
  51. Ali N, Gillespie S, Laney D. Treatment of Depression in Adults with Fabry Disease. JIMD Rep. 2018;38:13-21. doi:10.1007/8904_2017_21
  52. Hughes DA, Pintos-Morell G, Kampmann C, et al. Long‑term effectiveness and safety outcomes in adults with Fabry disease treated with agalsidase alfa: 20 years of data from the Fabry Outcome Survey. Eur J Clin Invest. 2025;00:e70142. doi:10.1111/eci.70142
  53. Beck M, Ramaswami U, Hernberg-Ståhl E, et al. Twenty years of the Fabry Outcome Survey (FOS): insights, achievements, and lessons learned from a global patient registry. Orphanet J Rare Dis. 2022;17:238. doi:10.1186/s13023-022-02392-9
  54. Hagège A, Réant P, Habib G, et al. Fabry disease in cardiology practice: Literature review and expert point of view. Arch Cardiovasc Dis. 2019;112(4):278-287. doi:10.1016/j.acvd.2019.01.002

VV-MEDMAT-135490
2026 жыл, сәуір айы